
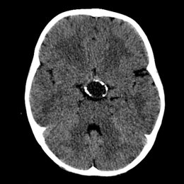
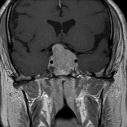
PREGUNTA 1 de 10
¿Cuál es el diagnóstico más probable de la siguiente imagen?

βͺ
A)
quiste aracnoideo
βͺ
B)
Quiste de la bolsa de Rathke
βͺ
C)
craneofaringioma
βͺ
D)
Silla turca vacía
βͺ
E)
macroadenoma hipofisario
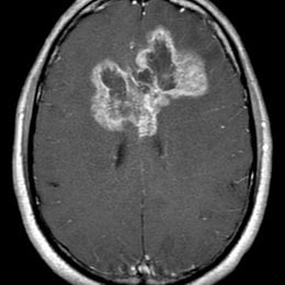
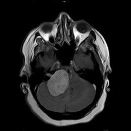
PREGUNTA 2 de 10
¿Cuál es el diagnóstico más probable de la siguiente imagen?

βͺ
A)
quiste aracnoideo
βͺ
B)
Quiste de la bolsa de Rathke
βͺ
C)
craneofaringioma
βͺ
D)
Silla turca vacía
βͺ
E)
macroadenoma hipofisario
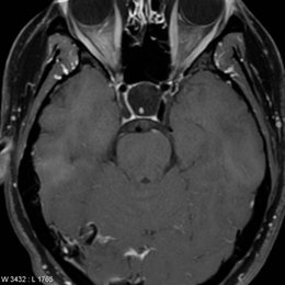
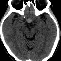
PREGUNTA 3 de 10
¿Cuál es el diagnóstico más probable de la siguiente imagen?

βͺ
A)
quiste aracnoideo
βͺ
B)
Quiste de la bolsa de Rathke
βͺ
C)
craneofaringioma
βͺ
D)
Silla turca vacía
βͺ
E)
macroadenoma hipofisario
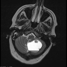
PREGUNTA 4 de 10
¿Cuál es el diagnóstico más probable de la siguiente imagen?

βͺ
A)
quiste aracnoideo
βͺ
B)
Quiste de la bolsa de Rathke
βͺ
C)
craneofaringioma
βͺ
D)
Silla turca vacía
βͺ
E)
macroadenoma hipofisario
PREGUNTA 5 de 10
Son tumores de origen vascular grado I de la OMS que pueden ocurrir en el sistema nervioso central o en cualquier otra parte del cuerpo, incluidos los riñones, el hígado y el páncreas. Se presentan en adultos jóvenes a adultos de mediana edad, tumor infratentorial intraaxial primario más común.

βͺ
A)
astrocitoma pilocítico
βͺ
B)
Hemangioblastoma
βͺ
C)
Metastasis
βͺ
D)
cavernoma con sangrado subagudo
βͺ
E)
Meduloblastoma
PREGUNTA 6 de 10
Esta neoplasia ocurre más frecuentemente en pacientes pediátricos y a nivel infratentorial. Se consideran tumores de grado I de la OMS en la clasificación actual (2016) de la OMS de tumores del SNC.

βͺ
A)
astrocitoma pilocítico
βͺ
B)
Hemangioblastoma
βͺ
C)
Metastasis
βͺ
D)
cavernoma con sangrado subagudo
βͺ
E)
Meduloblastoma
PREGUNTA 7 de 10
Es el tumor cerebral maligno más común de la infancia. Con mayor frecuencia se presentan como masa de línea media en el techo del 4º ventrículo con efecto de masa asociada e hidrocefalia. Los 4 subgrupos moleculares actualmente reconocidos en la clasificación de la OMS 2016.

βͺ
A)
astrocitoma pilocítico
βͺ
B)
Hemangioblastoma
βͺ
C)
Metastasis
βͺ
D)
cavernoma con sangrado subagudo
βͺ
E)
Meduloblastoma
PREGUNTA 8 de 10
Neoplasia intracraneal primaria más común en adultos, en la clasificación actual (2016) de la OMS de tumores del SNC , se reconocen tres variantes histológicas.

βͺ
A)
Meduloblastoma
βͺ
B)
Glioblastoma
βͺ
C)
Oligodendroglioma
βͺ
D)
Craneofaringioma
βͺ
E)
pineoblastoma
PREGUNTA 9 de 10
Son tumores relativamente comunes que surgen de los nervios craneales y representan 80% de las masas del ángulo cerebellopontino, usualmente no presentan calcificaciones.

βͺ
A)
Schwannoma
βͺ
B)
Meningioma
βͺ
C)
quiste epidermoide
βͺ
D)
metástasis
βͺ
E)
ependimoma
PREGUNTA 10 de 10
¿Uno de los diagnósticos diferenciales de esta neoplasia de la región pineal es el teratoma, verdadero o falso?

βͺ
A)
Verdadero
βͺ
B)
Falso
Este test aún no tiene comentarios π€